Autor: derStandard

Warum Psilocybin gegen Depressionen und gegen Süchte helfen dürfte

Der Gebrauch halluzinogener Wirkstoffe aus der Natur hat beim Menschen eine jahrtausendealte Tradition. Doch erst in den letzten Jahrzehnten hat die moderne Wissenschaft den Einsatz dieser Substanzen für therapeutische Zwecke systematisch zu erforschen begonnen. Psilocybin ist ein gutes Beispiel dafür: Der Genuss von Pilzen, die den psychoaktiven Wirkstoff Psilocybin enthalten, ist seit 6.000 Jahren dokumentiert…

Weiterlesen

Rätselhafte Temperaturschwankungen auf dem Neptun beobachtet

Rund 165 Jahre braucht der äußerste Planet unseres Sonnensystems für eine vollständige Runde um die Sonne. Obwohl der Neptun kaum mehr als ein Neunhundertstel der Sonnenenergie abbekommt, die auf die Erde trifft, lassen sich dort ebenfalls Jahreszeiten-bedingte Temperaturunterschiede feststellen. Über 40 Jahre lang ist die Südpolregion des Planeten durch dessen Achsenneigung der Sonne zugewandt, die…

Weiterlesen

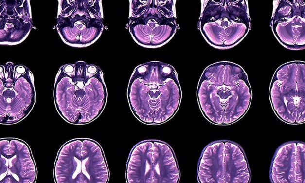
Graue Gehirnsubstanz wächst und schrumpft im Laufe der Zeit

Eltern kennen die regelmäßigen Kontrollen bei Kinderärztinnen und -ärzten, bei denen unter anderem Größe, Gewicht und Kopfumfang des Nachwuchses aufgezeichnet werden. Durch den Vergleich dieser Daten mit Gleichaltrigen lassen sich Wachstums- und Entwicklungsstörungen erkennen. Wachstumstabellen gehören seit mehr als 200 Jahren zu den Eckpfeilern der Pädiatrie. Analoge Referenztabellen für das Gehirn gibt es bisher aber…

Weiterlesen

Machu Picchu trägt seit 100 Jahren den falschen Namen

Machu Picchu liegt in 2.430 Metern Seehöhe über dem Urubamba-Fluss auf einem schmalen Sattel zwischen zwei Berggipfeln. Jener im Süden, mit 3.082 Metern der höhere der beiden, heißt Machu Picchu (Quechua-Sprache für „alter Berg“) und ist damit Namensvetter einer der bekanntesten archäologischen Stätten der Welt – zu Unrecht, wie sich nun herausgestellt hat.

Weiterlesen

Migrationsforscher Bauböck: „Die Neiddebatte kann schnell angefeuert werden“

Angesichts des Ukraine-Kriegs sieht Rainer Bauböck, Obmann der Kommission für Migrations- und Integrationsforschung der Österreichischen Akademie der Wissenschaften, eine Zeitenwende in der europäischen Flüchtlingspolitik gekommen. Im STANDARD-Gespräch erklärt er, was daraus folgt und wie die zivilgesellschaftliche Solidarität hochgehalten werden kann.

Weiterlesen